标题: 【链接】后遗症越来越明显,阳康了不要逞强,接下来一个月很关键— 2023-1-2 [打印本页]
作者: 汇泉湾泳客 时间: 2023-1-6 04:50
标题: 【链接】后遗症越来越明显,阳康了不要逞强,接下来一个月很关键— 2023-1-2
本帖最后由 汇泉湾泳客 于 2023-1-6 04:50 编辑
@香官愚叟 @山苗 @DLW @尘埃落定 @蓝色海湾 @崔大嘴 @山水游@牛弟的阿哥 @wan老兵新传 @小鱼儿外婆 @沈阳天路 @岸上人 @威海杆哥 @今来 @铁锚 @大道致简 @冬晨泳@洪499683166 @Q八大关
很多地方感染高峰已经逐渐过去,大部分人经历过发烧、头痛、咳嗽之后也都阳康了,不过别以为万事大吉了,真正的危险才刚刚开始。

感染新冠确实很像感冒,发烧、头痛、嗓子刺痛等症状很像,因此很多人对阳了已经不害怕了,毕竟发烧吃点布洛芬,头疼嗓子疼的也就持续2-3天,很快就感觉自己正常了。
一般5-7天就可以转阴了,这时有的人要上班,有的人迫不及待的想出去浪,没想到真正难受的日子才刚刚开始。
因为新冠病毒感染是全身性的,也许头痛、咳嗽等明显的症状没有了,但是身体很多地方病毒还在,这也就带来了很多后遗症,有些人甚至付出了生命的代价。

建议大家不要逞强,一定要静养一个月再逐渐像往常一样活动,否则后果很严重。
作者: 汇泉湾泳客 时间: 2023-1-6 04:50
阳康之后最主要的几个后遗症:
第一、身体疲惫
虽然阳康了,但是整个人感觉还是很虚弱,有的人去超市买点东西都气喘吁吁的,本来大冬天洗个澡很舒服,阳康了之后洗澡却感觉人轻飘飘的,感觉很不舒服。
身体已经没有明显症状了,却始终觉得自己很困,脑子不怎么清醒,很多人每天早早就得上床睡觉,这些都是身体在提醒自己要多休息。

作者: 汇泉湾泳客 时间: 2023-1-6 04:50
本帖最后由 汇泉湾泳客 于 2023-1-3 14:34 编辑
第二、咳嗽
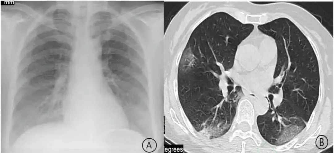
很多人阳康之后,咳嗽却一直不好,本身咳嗽是因为感染之后有个修复气道的康复过程,逐渐把病毒感染的垃圾排出体外。
但是最近却出现了很多“白肺”患者,转阴后一直咳嗽、气短、胸闷的,特别是有基础疾病的要特别小心,一定要记得去医院拍个肺部CT,可能会出现危重症。

作者: 汇泉湾泳客 时间: 2023-1-6 04:50
第三、心肌炎
有不少人阳康之后就急着锻炼,开始跑步、打羽毛球、爬山等剧烈运动,甚至加班熬夜等等,这样做是很危险的,很多人阳康之后猝死就是因为过度疲劳引发了心肌炎。
新冠是一种全身感染病毒,并不仅仅是肺炎,肺部感染引起咳嗽反而容易让自己警醒,但心脏中招了症状可能没那么明显,很隐匿,但恰恰是很致命的。
虽然证据有限,但专家们一致推荐,心肌炎患者应注意休息。即使心肌炎已经恢复,在发作后的至少6个月内应限制体育活动。

作者: 汇泉湾泳客 时间: 2023-1-6 04:50
第四、味觉和嗅觉丧失
后遗症最多的就是味觉或者嗅觉的丧失,每个人不太一样,有的人只是味觉略有减退,虽然能尝出酸甜苦辣,但却觉察不出不同食物烹饪出的独特香味。
有的人直接就是丧失了味觉或者嗅觉,而且这个症状会持续很久,几周几个月都有可能,最长的甚至长达2年之久。

重申一下新冠不是感冒,阳康不代表完全健康了,新冠只是部分症状跟感冒一样,实际上比感冒厉害多了。
希望阳了的抓紧好起来,生活赶快回归正轨,希望阳康了的再静养一两个月。重视新冠,意味着尊重自己的生命。祝大家一切安好!
作者: 蓝色海湾 时间: 2023-1-6 05:11
重申一下新冠不是感冒,阳康不代表完全健康了,新冠只是部分症状跟感冒一样,实际上比感冒厉害多了。
希望阳了的抓紧好起来,生活赶快回归正轨,希望阳康了的再静养一两个月。重视新冠,意味着尊重自己的生命。祝大家一切安好!
切记!切记!
作者: 汇泉湾泳客 时间: 2023-1-6 05:20
谢谢老朋友海湾大哥第一时间关注,点评

作者: 泽雅 时间: 2023-1-6 06:02
躺羊中招以后,建议大家不要逞强,一定要静养一个月再逐渐像往常一样活动,否则后果很严重。
作者: 山苗 时间: 2023-1-6 07:31
养了羊必须得好好休息!
作者: 868584 时间: 2023-1-6 09:34
休养好再运动!
作者: 威海杆哥 时间: 2023-1-6 10:05
提醒的好,应该重视和学习啦。
作者: 汇泉湾泳客 时间: 2023-1-6 14:49
谢谢老朋友泽雅长老关注,点评
作者: 汇泉湾泳客 时间: 2023-1-6 14:50
谢谢老朋友山苗长老关注,点评
作者: 汇泉湾泳客 时间: 2023-1-6 14:50
谢谢老朋友868584关注,点评
作者: 汇泉湾泳客 时间: 2023-1-6 14:51
谢谢老朋友杆哥关注、点评
作者: 威海杆哥 时间: 2023-1-6 15:21
不客气
作者: 岸上人 时间: 2023-1-6 16:24
不要逞强,一定要静养一个月再逐渐像往常一样活动,否则后果很严重。
作者: 刘建华 时间: 2023-1-6 16:36
新冠不是小感冒
阳康以后未必好
病毒深深侵肌体
祝愿大家身体好
作者: wan老兵新传 时间: 2023-1-6 22:14
有位在某高校当老师的、人称教授的泳友说:前一天冬渡(横渡)长江,第二天感觉胸有点闷和喉咙痛。
我说:阳了一个月内不能剧烈运动,何况还是冬泳!何况还十来天没有下水!先用点药止住!
我再说:这个是阳的后遗症。我现在的冬泳,一般减了4分钟左右。无论什么运动,一定要减量。年纪大的人,越应该这样!
作者: wan老兵新传 时间: 2023-1-6 22:17
我的观点:阳过后的冬泳必须减量!
我是无症状,但我还是天天坚持冬泳!!!
作者: 汇泉湾泳客 时间: 2023-1-7 04:08
谢谢老朋友刘建华版主关注、点评
作者: 汇泉湾泳客 时间: 2023-1-7 04:09
谢谢老朋友老兵新传关注、点评
作者: 汇泉湾泳客 时间: 2023-1-7 04:09
谢谢老朋友老兵新传关注、点评
作者: 汇泉湾泳客 时间: 2023-1-7 04:10
谢谢老朋友刘建华版主关注、点评
作者: 汇泉湾泳客 时间: 2023-1-7 04:10
谢谢老朋友岸上人关注、点评
作者: 汇泉湾泳客 时间: 2023-1-7 04:10


作者: 蓝色海湾 时间: 2023-1-7 21:27
谢谢!


作者: 汇泉湾泳客 时间: 2023-1-8 04:05



作者: 威海杆哥 时间: 2023-1-8 10:29
多谢邹哥加分给力
作者: 汇泉湾泳客 时间: 2023-1-8 14:25

| 欢迎光临 (http://bbs.china-ws.org/) |
Powered by Discuz! X3.3 |