六根手指的X光图
![]() |
六根手指的X光图
![]() |
一对连体双胞胎
![]() |
小孩子乳牙被恒牙取代下颚,看起来有点惊悚!
![]() |
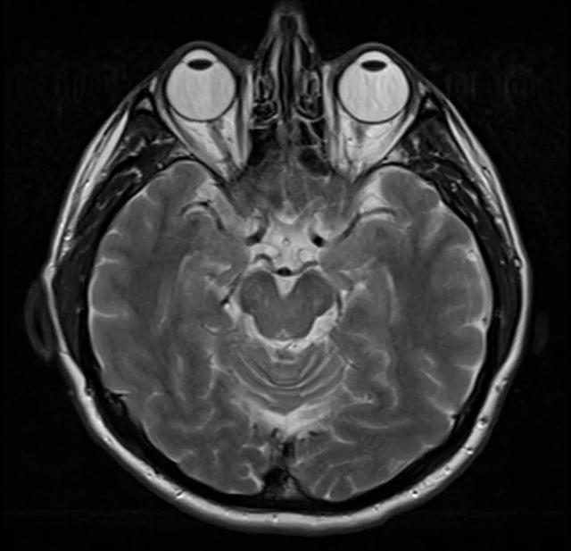
人脑MRI图像,有点可爱??
![]() |
“多齿症”患者的X光照片
![]() |
彩色核磁共振下的人体主动脉彩色核磁共振下人体的静脉和动脉,一目了然
![]() |
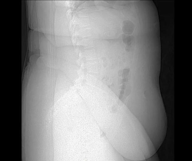
胖子的X光照片,脂肪过多导致骨骼都很难看见
![]() |
女性穿高跟鞋的X光秃,前脚掌已经极度扭曲
![]() |
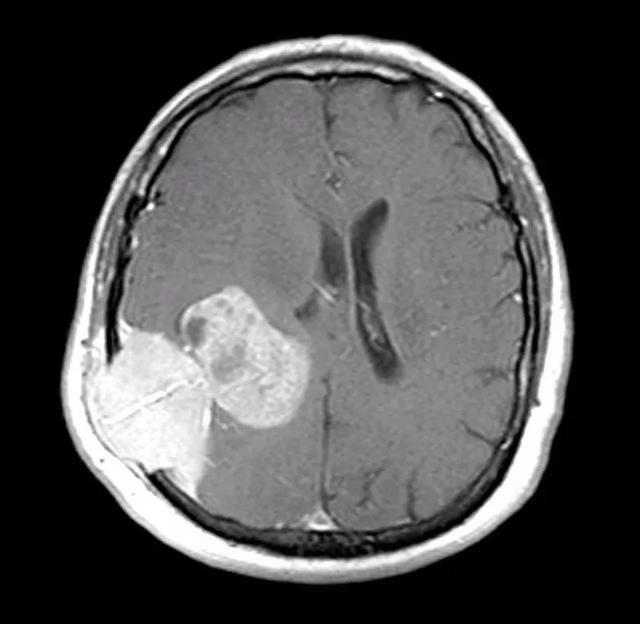
脑部肿瘤
![]() |
手部血管变性的CT图
![]() |
分叉的脚趾
![]() |
受伤的头骨在手术后的透视图
![]() |
非得和小猪佩奇一起照X光
![]() |
面部的核磁共振图像,可以说相当的惊悚了!
![]() |
最后一张给大家缓解一下,卡通人物荷马·辛普森的X光照片~


868584 发表于 2019-2-25 16:52
哦.看了.有点怀疑人生了!

天中华姐 发表于 2019-2-25 17:14
分享学习了!
| 欢迎光临 (http://bbs.china-ws.org/) | Powered by Discuz! X3.3 |